Logo RainPath
Virtual stainingRainPath SoftwareNous contacterCarrières
FR
FR
EN
FR
FR
EN
Se connecter

L'Intelligence Artificielle au service des workflows anapaths

Revolutionizing pathology workflows with AI

Nous opérons la transition vers une nouvelle ère pour l'anatomie et la cytologie pathologique. Grâce à l'optique et à l'IA, nous remplaçons les analyses chimiques et améliorons le diagnostic.

Contactez-nous
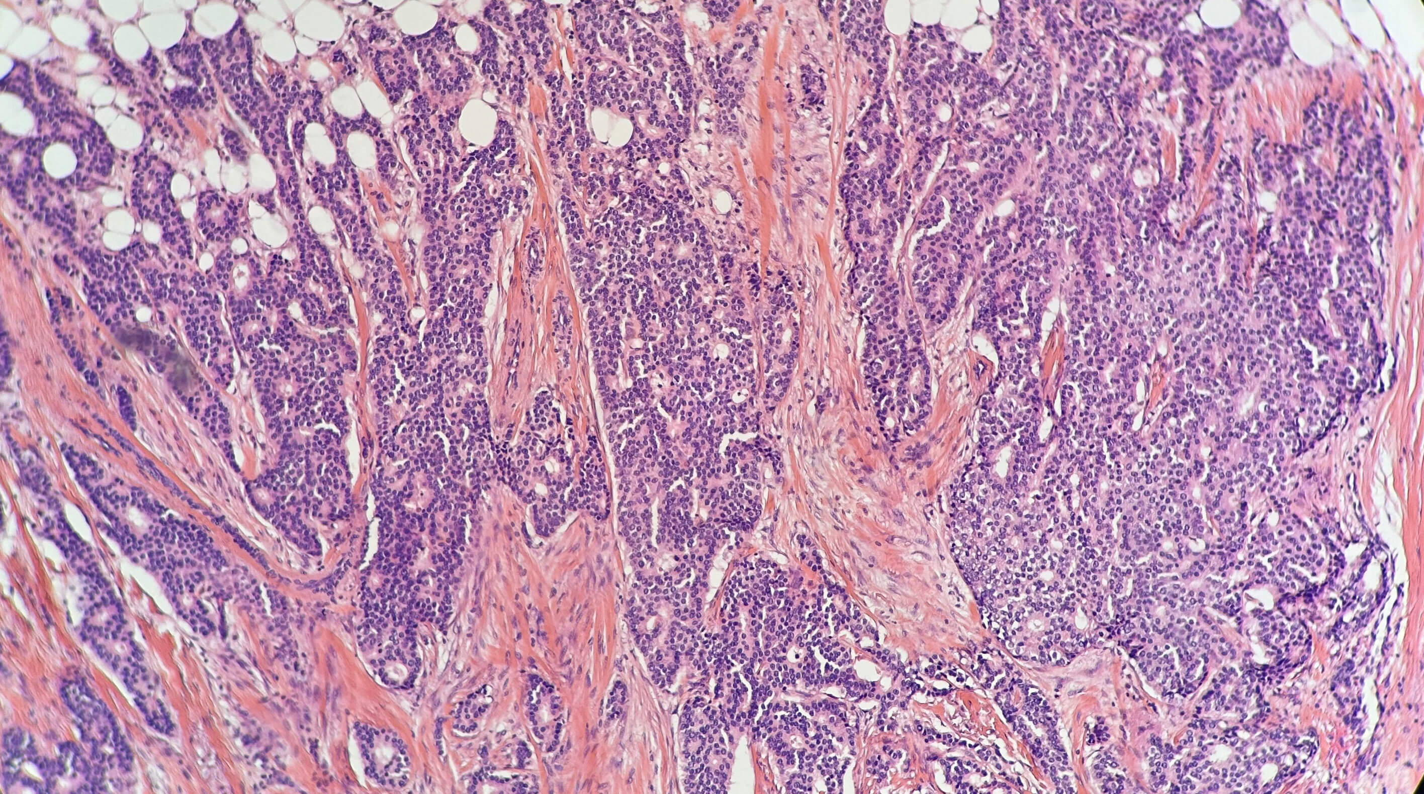
Credit RainPath, HER2 slide
Credit RainPath,HP slide
Virtual staining

De lames non colorées à des images diagnostiques en quelques secondes

Nous développons une solution de virtual staining.
Des images fiables, sans réactifs, pour un diagnostic plus rapide et durable.

Résultats en quelques secondes

Obtenez des images tissulaires exploitables immédiatement, sans étapes de traitement supplémentaires

Moins de réactifs, plus d’efficacité

Réduisez l’utilisation de réactifs et de ressources tout en accélérant vos flux de travail pré-analytiques et analytiques.

Confiance et cohérence

Des images de qualité constantes qui en disent plus pour l'analyse.

Solutions

RainPath Software : Des solutions opérationnelles pour améliorer vos workflows anapaths

Moins de temps administratif, plus de temps médical avec notre suite logicielle

Comptes rendus et bons d'enregistrement

RainFlow : Gestion automatisée de votre donnée textuelle

Avec l’IA, RainFlow lit vos documents et complète automatiquement les informations dans votre SGL.
En savoir plus
Sécurité

RainHub : Optimisation des cotations & gestion de dossier

RainHub repère et corrige les erreurs ou sous-optimisation de cotations.
En savoir plus

Ils nous font confiance

Nous contacter

Email

robin@rainpath.ai
Notre page LinkedIn
Contact : robin@rainpath.ai
AccueilRainPath SoftwareCarrières
Virtual stainingContact
© 2025 RainPath. Tous droits réservés
Mentions légales